Trong cơ thể người, có những tuyến nội tiết tuy nhỏ bé nhưng đóng vai trò vô cùng quan trọng, và tuyến thượng thận nằm ở đâu là câu hỏi nhiều người quan tâm. Cặp tuyến này chịu trách nhiệm sản xuất các hormone thiết yếu, điều hòa huyết áp, cân bằng miễn dịch và phản ứng với căng thẳng. Việc hiểu rõ về vị trí, cấu tạo và chức năng của chúng là chìa khóa để duy trì một sức khỏe tổng thể tốt.
Tuyến Thượng Thận Là Gì Và Vị Trí Tuyến Thượng Thận Nằm Ở Đâu?
Tuyến thượng thận là hai tuyến nội tiết nhỏ có hình tam giác, mỗi tuyến nằm ở phía trên của một quả thận. Mặc dù liên kết chặt chẽ về mặt vị trí giải phẫu, chúng hoàn toàn không phải là một phần của thận. Thay vào đó, chúng là một phần quan trọng của hệ thống nội tiết, chuyên trách sản xuất và tiết ra nhiều loại hormone khác nhau. Những hormone này điều hòa hàng loạt các chức năng sống còn của cơ thể, bao gồm quá trình trao đổi chất, chức năng của hệ thống miễn dịch, kiểm soát huyết áp, phản ứng với căng thẳng, và thậm chí cả sự phát triển các đặc điểm sinh dục.
Mỗi tuyến thượng thận ở người trưởng thành thường nặng khoảng 5 gram, với kích thước trung bình khoảng 30 mm (1.2 inch) chiều rộng, 50 mm (2 inch) chiều dài và 10 mm (0.4 inch) chiều dày. Cấu trúc của mỗi tuyến được chia thành hai phần chính biệt lập về nguồn gốc phôi thai, cấu trúc và chức năng: phần tủy bên trong và phần vỏ bên ngoài. Phần tủy chủ yếu sản xuất epinephrine và norepinephrine, trong khi phần vỏ chịu trách nhiệm sản xuất hormone steroid.
tuyến thượng thận nằm ở đâu trong cơ thể
Cấu Tạo Chi Tiết Của Tuyến Thượng Thận
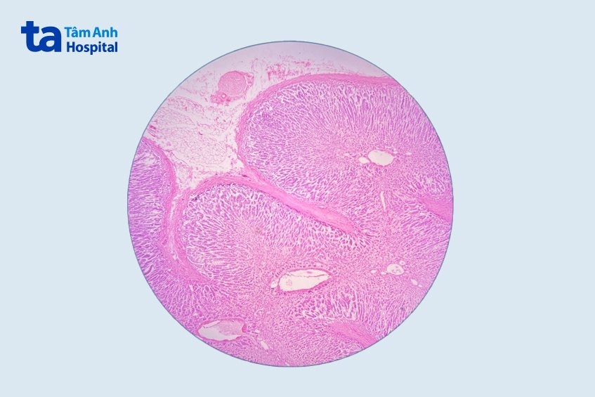
Cấu tạo của tuyến thượng thận được chia thành hai vùng chính là vỏ thượng thận (vùng bên ngoài) và tủy thượng thận (vùng bên trong). Mỗi vùng có chức năng đặc biệt và sản xuất các loại hormone riêng biệt, đóng góp vào sự cân bằng nội môi của cơ thể.
Vùng Vỏ Thượng Thận
Vỏ thượng thận là lớp bên ngoài và là phần lớn nhất của tuyến này, chiếm khoảng 80% thể tích. Nó được chia thành ba lớp riêng biệt, mỗi lớp có vai trò sản xuất các hormone steroid khác nhau, bao gồm:
<>Xem Thêm Bài Viết:<>- Thiết kế nội thất nhà tiền chế: Cẩm nang tối ưu không gian sống
- Nicky Monstar Quê Ở Đâu: Khám Phá Nguồn Gốc Nam Ca Sĩ
- Ý Nghĩa Khi Đặt Hồ Lô Phong Thủy Ở Đầu Giường
- Sài Gòn Cách Hà Nội Bao Nhiêu Km: Tổng Quan Khoảng Cách Và Ảnh Hưởng
- Kinh nghiệm chọn bàn học cho sinh viên giá rẻ, tối ưu không gian
Lớp cầu (zona glomerulosa): Đây là lớp ngoài cùng của vỏ thượng thận, nằm ngay dưới bao xơ của tuyến. Các tế bào ở lớp này thường tạo thành các nhóm hình bầu dục, được ngăn cách bởi các sợi mô liên kết mỏng và mạng lưới mao mạch rộng. Lớp cầu chịu trách nhiệm chính trong việc tiết ra hormone điều hòa điện giải, với Aldosterone là hormone quan trọng nhất. Hormone này có vai trò then chốt trong việc duy trì ổn định nồng độ ion Natri (Na+) và Kali (K+) trong máu, từ đó điều hòa huyết áp và cân bằng nước trong cơ thể.
Lớp bó (zona fasciculata): Đây là lớp dày nhất trong ba lớp của vỏ thượng thận, chiếm gần 80% thể tích của vùng vỏ. Các tế bào tại lớp bó được sắp xếp thành các cột thẳng hàng, hướng về phía tủy thượng thận. Những tế bào này giàu giọt lipid, ty thể và mạng lưới nội chất trơn phức tạp. Lớp bó là nơi tiết ra các hormone nhóm Glucocorticoid, trong đó Cortisol là hormone chủ yếu. Cortisol, thường được gọi là “hormone căng thẳng”, có tác dụng chống viêm mạnh mẽ và đóng vai trò quan trọng trong việc điều hòa chuyển hóa đường, protein và chất béo, cũng như hỗ trợ cơ thể phản ứng với stress.
Lớp lưới (zona reticularis): Nằm ở phía trong cùng của vỏ thượng thận, liền kề với tủy thượng thận. Các tế bào nhỏ hơn ở lớp này tạo thành các dải và cụm không đều, được phân cách bởi các mao mạch và mô liên kết. Các tế bào ở đây chứa ít tế bào chất và giọt lipid hơn so với lớp bó. Lớp lưới chủ yếu tiết ra hormone Androgen và một lượng nhỏ Estrogen. Androgen là các hormone sinh dục nam, có vai trò trong việc phát triển các đặc điểm sinh dục thứ phát ở nam giới và cũng được sản xuất với số lượng nhỏ ở nữ giới. Nếu sản xuất quá mức trong thai kỳ, có thể gây ra hiện tượng nam hóa ở thai nhi nữ.
cấu tạo vi mô của vỏ tuyến thượng thận
Vùng Tủy Thượng Thận
Vùng tủy là phần trung tâm của tuyến thượng thận, được bao quanh bởi vỏ thượng thận. Đây là nguồn sản xuất chính các hormone Catecholamine cho cơ thể. Khoảng 20% Noradrenaline (Norepinephrine) và 80% Adrenaline (Epinephrine) được tiết ra từ đây.
Hoạt động của tủy thượng thận được kiểm soát chặt chẽ bởi hệ thống thần kinh giao cảm, thông qua các sợi thần kinh xuất phát từ tủy sống ngực (từ đốt sống T5-T11). Do đó, tủy thượng thận thường được xem như một hạch giao cảm chuyên biệt. Tuy nhiên, điểm khác biệt là tủy thượng thận giải phóng dịch tiết (hormone) trực tiếp vào máu thay vì truyền tín hiệu thần kinh đến các cơ quan mục tiêu. Khi bị kích thích (ví dụ, trong các tình huống căng thẳng hoặc nguy hiểm), các tế bào tuyến sẽ giải phóng Adrenaline và Noradrenaline. Các hormone này có tác dụng tương tự như hệ thần kinh giao cảm nhưng kéo dài hơn khoảng 10 lần do chúng bị phân hủy chậm hơn các chất dẫn truyền thần kinh. Chúng làm tăng nhịp tim, nhịp thở, giãn phế quản, tăng co bóp cơ tim, tăng huyết áp và tăng đường huyết, chuẩn bị cho cơ thể phản ứng “chiến đấu hay bỏ chạy”.
sơ đồ cấu trúc bên trong tuyến thượng thận
Cơ Chế Hoạt Động Của Các Hormone Tuyến Thượng Thận
Các hormone được sản xuất bởi tuyến thượng thận có cơ chế hoạt động phức tạp và ảnh hưởng rộng khắp đến nhiều hệ thống trong cơ thể. Chúng đóng vai trò quan trọng trong việc duy trì cân bằng nội môi và giúp cơ thể thích nghi với các thay đổi từ môi trường bên trong và bên ngoài.
Cortisol, một Glucocorticoid, được tiết ra từ lớp bó của vỏ thượng thận, là trung tâm trong việc kiểm soát phản ứng viêm, điều hòa huyết áp, tăng lượng đường trong máu khi cần thiết và ảnh hưởng đến chu kỳ ngủ – thức. Khi cơ thể đối mặt với căng thẳng, tuyến này sẽ giải phóng Cortisol để cung cấp năng lượng bổ sung, giúp cơ thể vượt qua tình huống đó.
Aldosterone, một Mineralocorticoid từ lớp cầu, chủ yếu điều hòa huyết áp thông qua việc kiểm soát nồng độ Natri và Kali trong máu. Nó kích thích thận tái hấp thu Natri vào máu và bài tiết Kali qua nước tiểu, đồng thời giúp giữ nước trong mạch máu, duy trì thể tích máu ổn định và kiểm soát độ pH của máu.
DHEA-Sulfate và các Steroid Androgenic, được sản xuất tại lớp lưới, là tiền thân của các hormone sinh dục nam và nữ. Mặc dù bản thân chúng không có tác động sinh học mạnh mẽ, chúng có thể được chuyển đổi thành Estrogen ở buồng trứng và Androgen ở tinh hoàn, đóng góp vào sự phát triển và chức năng sinh sản.
Adrenaline (Epinephrine) và Noradrenaline (Norepinephrine), còn gọi là Catecholamine, được tiết ra từ tủy thượng thận. Các hormone này làm tăng nhịp tim, tăng co bóp cơ tim và hỗ trợ quá trình chuyển hóa glucose để tạo năng lượng nhanh chóng. Chúng cũng kiểm soát sự co giãn của mạch máu, góp phần duy trì huyết áp ổn định, đặc biệt được giải phóng mạnh mẽ khi cơ thể gặp phải căng thẳng về thể chất hoặc tinh thần, kích hoạt phản ứng “chiến đấu hay bỏ chạy”.
vai trò quan trọng của tuyến thượng thận trong cơ thể
Dấu Hiệu Nhận Biết Các Vấn Đề Về Tuyến Thượng Thận: Khi Nào Cần Thăm Khám?
Những bất thường trong hoạt động của tuyến thượng thận có thể dẫn đến nhiều vấn đề sức khỏe nghiêm trọng. Việc nhận biết sớm các dấu hiệu và triệu chứng là rất quan trọng để có thể thăm khám và điều trị kịp thời.
Khi tuyến này hoạt động kém hiệu quả, chẳng hạn như trong bệnh Addison (suy vỏ thượng thận nguyên phát), cơ thể có thể xuất hiện các triệu chứng như mệt mỏi kinh niên, sụt cân không rõ nguyên nhân, đau khớp, da sạm màu hơn, huyết áp thấp, và thèm muối bất thường. Những dấu hiệu này thường tiến triển chậm rãi và có thể bị bỏ qua trong giai đoạn đầu.
Ngược lại, nếu tuyến này hoạt động quá mức, tiết ra quá nhiều hormone, các triệu chứng cũng sẽ rất đa dạng. Ví dụ, hội chứng Cushing do tăng tiết cortisol có thể gây béo phì trung tâm (bụng to nhưng chân tay nhỏ), mặt tròn như mặt trăng, da mỏng dễ bầm tím, tăng huyết áp và đường huyết cao. Hội chứng Conn (cường Aldosterone nguyên phát) thường biểu hiện bằng tăng huyết áp khó kiểm soát và hạ kali máu, gây chuột rút cơ bắp và rối loạn nhịp tim.
Trong trường hợp tăng tiết Androgen, đặc biệt ở phụ nữ hoặc trẻ em, có thể gây ra các triệu chứng như mụn trứng cá nghiêm trọng, rậm lông, rụng tóc, rối loạn kinh nguyệt hoặc thậm chí là vô sinh ở nữ giới. Ở trẻ em, các dấu hiệu có thể bao gồm sự phát triển sinh dục sớm hoặc bất thường. U tủy thượng thận (pheochromocytoma) thường dẫn đến các cơn tăng huyết áp kịch phát, đau đầu dữ dội, tim đập nhanh, vã mồ hôi và cảm giác lo lắng, hoảng sợ.
Nếu bạn hoặc người thân nhận thấy bất kỳ dấu hiệu nào kể trên kéo dài hoặc trở nên nghiêm trọng, việc chủ động tìm kiếm sự tư vấn y tế là cực kỳ cần thiết. Bác sĩ có thể chỉ định các xét nghiệm máu, nước tiểu hoặc chẩn đoán hình ảnh để xác định nguyên nhân và đưa ra phác đồ điều trị phù hợp, giúp bảo vệ sức khỏe của bạn.
Một Số Bệnh Lý Thường Gặp Liên Quan Đến Tuyến Thượng Thận
Các rối loạn chức năng của tuyến thượng thận có thể gây ra nhiều bệnh lý ảnh hưởng nghiêm trọng đến sức khỏe. Dưới đây là một số bệnh lý phổ biến liên quan đến cơ quan nội tiết quan trọng này.
Suy Vỏ Thượng Thận Nguyên Phát (Bệnh Addison)
Bệnh Addison là một tình trạng hiếm gặp nhưng nguy hiểm, xảy ra khi vỏ tuyến thượng thận bị tổn thương và không sản xuất đủ các hormone quan trọng như cortisol, aldosterone và androgen. Nguyên nhân phổ biến nhất là viêm tuyến thượng thận tự miễn, khi hệ miễn dịch của cơ thể tấn công nhầm các tế bào tuyến. Bệnh thường biểu hiện kín đáo ban đầu với các triệu chứng như mệt mỏi, sụt cân, da sạm, huyết áp thấp và có thể tiến triển thành cấp tính với các triệu chứng nghiêm trọng hơn khi cơ thể chịu áp lực.
U Thượng Thận Tăng Tiết Cortisol (Hội Chứng Cushing)
Hội chứng Cushing là kết quả của việc cơ thể tiếp xúc với lượng cortisol quá mức trong thời gian dài. Nguyên nhân có thể là do u ở tuyến thượng thận tự sản xuất cortisol, hoặc do các khối u ở tuyến yên (gây tiết ACTH quá mức kích thích tuyến thượng thận) hoặc sử dụng thuốc corticosteroid liều cao. Các triệu chứng điển hình bao gồm tăng cân ở vùng thân và mặt, mặt tròn, da mỏng, vết rạn da màu tím, yếu cơ, huyết áp cao và đường huyết tăng.
Cường Aldosterone Nguyên Phát (Hội Chứng Conn)
Hội chứng Conn xảy ra khi tuyến thượng thận tiết ra quá nhiều aldosterone một cách độc lập với hệ thống điều hòa thông thường (hệ renin-angiotensin). Tình trạng này dẫn đến tăng huyết áp khó kiểm soát và thường kèm theo hạ kali máu, gây ra các triệu chứng như chuột rút cơ bắp, mệt mỏi và rối loạn nhịp tim. Đây là một trong những nguyên nhân phổ biến gây tăng huyết áp thứ phát.
Cường Androgen
Cường androgen, hay hyperandrogenism, là tình trạng có quá nhiều hormone androgen (hormone sinh dục nam) trong cơ thể. Mặc dù cả nam và nữ đều sản xuất androgen, nhưng sự dư thừa ở nữ giới hoặc trẻ em có thể gây ra các triệu chứng như mụn trứng cá nặng, rậm lông (hirsutism), rụng tóc theo kiểu hói đầu nam, rối loạn kinh nguyệt và vô sinh ở phụ nữ. Ở trẻ em gái trước tuổi dậy thì, có thể thấy âm vật phì đại và rậm lông sớm.
Cường Tủy Thượng Thận (Pheochromocytoma)
Pheochromocytoma là một khối u hiếm gặp, thường lành tính, phát triển ở tủy thượng thận, gây sản xuất quá mức các hormone catecholamine (adrenaline và noradrenaline). Điều này dẫn đến các cơn tăng huyết áp kịch phát, đau đầu dữ dội, tim đập nhanh, đổ mồ hôi nhiều và cảm giác lo lắng. Nếu không được chẩn đoán và điều trị kịp thời, bệnh có thể gây ra các biến chứng nghiêm trọng như đột quỵ, nhồi máu cơ tim, và suy thận.
Tăng Sản Thượng Thận Bẩm Sinh (CAH)
Tăng sản thượng thận bẩm sinh là một nhóm các bệnh di truyền, do thiếu hụt các enzyme cần thiết cho quá trình tổng hợp cortisol và aldosterone. Dạng phổ biến nhất là thiếu hụt 21-hydroxylase, chiếm khoảng 90% các trường hợp. Hậu quả là cơ thể không sản xuất đủ cortisol và aldosterone, dẫn đến sự tích tụ các tiền chất có thể chuyển hóa thành androgen. Các triệu chứng và biểu hiện lâm sàng rất đa dạng, tùy thuộc vào mức độ thiếu hụt enzyme và giới tính của người bệnh, bao gồm các vấn đề về phát triển sinh dục và khả năng chịu đựng stress kém.
Ung Thư Tuyến Thượng Thận
Ung thư tuyến thượng thận nguyên phát là rất hiếm gặp. Các khối u ác tính ở tuyến này thường là do di căn từ các loại ung thư khác trong cơ thể, chẳng hạn như ung thư vú, ung thư phổi hoặc ung thư thận, lan đến tuyến thượng thận. Ung thư có thể ảnh hưởng đến chức năng sản xuất hormone, gây ra các triệu chứng tương tự như các bệnh cường tuyến, hoặc các triệu chứng không đặc hiệu như đau bụng, sụt cân.
các bệnh lý phổ biến liên quan đến tuyến thượng thận
Chẩn Đoán Và Các Phương Pháp Điều Trị Bệnh Lý Tuyến Thượng Thận
Việc chẩn đoán sớm và điều trị kịp thời các bệnh lý của tuyến thượng thận đóng vai trò cực kỳ quan trọng trong việc cải thiện tiên lượng và chất lượng cuộc sống cho người bệnh. Quá trình này thường bao gồm nhiều bước, từ thăm khám lâm sàng, xét nghiệm đến các phương pháp chẩn đoán hình ảnh.
Chẩn Đoán
Đầu tiên, bác sĩ sẽ hỏi về tiền sử bệnh lý và các triệu chứng mà bệnh nhân đang gặp phải. Các xét nghiệm máu và nước tiểu là công cụ quan trọng để đo lường nồng độ các hormone do tuyến thượng thận sản xuất, như cortisol, aldosterone, androgen, adrenaline và noradrenaline. Ví dụ, xét nghiệm định lượng cortisol tự do trong nước tiểu 24 giờ có thể giúp chẩn đoán hội chứng Cushing, trong khi tỷ lệ aldosterone trên renin trong huyết tương là chỉ số quan trọng để sàng lọc cường aldosterone nguyên phát.
Ngoài ra, các bài kiểm tra chức năng động, như xét nghiệm kích thích ACTH hoặc nghiệm pháp ức chế Dexamethasone, cũng thường được sử dụng để đánh giá khả năng phản ứng của tuyến này. Các phương pháp chẩn đoán hình ảnh như siêu âm, chụp cắt lớp vi tính (CT scan) hoặc cộng hưởng từ (MRI) vùng bụng sẽ giúp xác định vị trí, kích thước và đặc điểm của khối u hoặc các bất thường cấu trúc khác của tuyến thượng thận, giúp xác định tuyến thượng thận nằm ở đâu và tình trạng của nó.
Phương Pháp Điều Trị
Các phương pháp điều trị bệnh lý tuyến thượng thận rất đa dạng và phụ thuộc vào từng loại bệnh cụ thể.
Với suy vỏ thượng thận (bệnh Addison), phương pháp điều trị chủ yếu là liệu pháp thay thế hormone suốt đời bằng cách bổ sung cortisol (hydrocortisone) và aldosterone (fludrocortisone) dưới dạng thuốc uống hàng ngày. Việc này giúp bù đắp lượng hormone mà cơ thể không thể tự sản xuất.
Đối với các trường hợp cường tuyến do khối u lành tính, phẫu thuật cắt bỏ khối u thường là lựa chọn điều trị hiệu quả nhất. Ví dụ, u tuyến thượng thận gây hội chứng Cushing hoặc pheochromocytoma thường được loại bỏ bằng phẫu thuật nội soi hoặc mổ mở. Sau phẫu thuật, một số bệnh nhân có thể cần liệu pháp thay thế hormone tạm thời hoặc vĩnh viễn tùy thuộc vào chức năng còn lại của tuyến.
Trong các trường hợp tăng sản tuyến thượng thận bẩm sinh, điều trị thường bao gồm liệu pháp thay thế glucocorticoid để ức chế sản xuất ACTH quá mức, từ đó giảm sản xuất androgen. Đôi khi, cũng cần bổ sung mineralocorticoid. Đối với ung thư tuyến thượng thận, phẫu thuật triệt căn là ưu tiên hàng đầu, có thể kết hợp với xạ trị, hóa trị hoặc liệu pháp nhắm trúng đích tùy thuộc vào giai đoạn và đặc điểm của khối u.
Việc theo dõi định kỳ và điều chỉnh phác đồ điều trị là cực kỳ cần thiết để đảm bảo hiệu quả tối ưu và quản lý tốt các biến chứng tiềm ẩn, giúp bệnh nhân duy trì sức khỏe tốt nhất có thể.
Cần Lưu Ý Điều Gì Để Tuyến Thượng Thận Luôn Khỏe Mạnh?
Để duy trì sức khỏe tốt cho tuyến thượng thận, bên cạnh việc hiểu rõ tuyến thượng thận nằm ở đâu và chức năng của nó, một lối sống lành mạnh đóng vai trò thiết yếu. Chúng ta cần chủ động thực hiện các biện pháp phòng ngừa và hỗ trợ chức năng của cặp tuyến nội tiết này thông qua chế độ dinh dưỡng, tập luyện và quản lý căng thẳng.
Về chế độ dinh dưỡng, hãy ưu tiên các thực phẩm giàu chất xơ và vitamin C, những dưỡng chất có nhiều trong bông cải xanh, rau ngót, súp lơ và các loại trái cây họ cam quýt. Chất xơ giúp ổn định đường huyết, trong khi vitamin C là một chất chống oxy hóa mạnh mẽ, hỗ trợ chức năng của tuyến. Ngược lại, hạn chế tối đa các thực phẩm nhiều đường và nhiều muối, vì chúng có thể gây gánh nặng cho tuyến thượng thận và làm mất cân bằng điện giải, ảnh hưởng tiêu cực đến huyết áp.
Thói quen tập luyện thể dục, thể thao hàng ngày cũng vô cùng quan trọng. Vận động không chỉ giúp cải thiện sức khỏe thể chất mà còn là một phương pháp hiệu quả để giảm lo âu và những yếu tố tiêu cực. Chỉ cần dành khoảng 20-30 phút mỗi ngày cho các bài tập nhẹ nhàng như đi bộ, yoga, hoặc bơi lội cũng đủ để tăng cường lưu lượng máu lên não và khắp cơ thể, đồng thời hỗ trợ hoạt động của các tuyến nội tiết, bao gồm cả tuyến thượng thận.
Việc quản lý căng thẳng là một yếu tố không thể thiếu. Căng thẳng kéo dài khiến tuyến thượng thận phải làm việc quá sức để sản xuất cortisol, dẫn đến kiệt sức tuyến và nhiều vấn đề sức khỏe khác. Hãy tìm kiếm các phương pháp thư giãn phù hợp với bản thân như thiền định, đọc sách, nghe nhạc, dành thời gian cho sở thích cá nhân hoặc kết nối với thiên nhiên. Đảm bảo ngủ đủ giấc, khoảng 7-9 giờ mỗi đêm, cũng là cách hiệu quả để cơ thể và tuyến thượng thận được phục hồi.
Bằng cách kết hợp một chế độ ăn uống cân bằng, tập luyện đều đặn và biết cách quản lý căng thẳng, bạn sẽ góp phần bảo vệ và tăng cường sức khỏe của tuyến thượng thận, từ đó duy trì một cơ thể khỏe mạnh và tràn đầy năng lượng.
FAQs
Tuyến thượng thận nằm ở đâu trong cơ thể người?
Tuyến thượng thận nằm ở đâu là một câu hỏi thường gặp. Chúng là hai tuyến nội tiết nhỏ có hình tam giác, mỗi tuyến được đặt ở phía trên đỉnh của một quả thận. Mặc dù có vị trí gần thận, chúng là các cơ quan riêng biệt và không liên quan đến chức năng lọc máu của thận.
Tuyến thượng thận có vai trò gì đối với sức khỏe con người?
Tuyến thượng thận đóng vai trò cực kỳ quan trọng trong việc sản xuất các hormone thiết yếu như cortisol, aldosterone, adrenaline và noradrenaline. Những hormone này điều hòa nhiều chức năng cơ thể, bao gồm điều hòa huyết áp, cân bằng điện giải, phản ứng với căng thẳng (phản ứng “chiến đấu hay bỏ chạy”), chuyển hóa glucose và protein, cũng như ảnh hưởng đến hệ thống miễn dịch.
Làm thế nào để biết tuyến thượng thận của tôi có vấn đề?
Các dấu hiệu cho thấy tuyến thượng thận có thể có vấn đề bao gồm mệt mỏi kéo dài, sụt cân hoặc tăng cân bất thường, huyết áp cao hoặc thấp không rõ nguyên nhân, da sạm màu, rậm lông, rối loạn kinh nguyệt, tim đập nhanh, đau đầu và lo lắng quá mức. Nếu bạn gặp một hoặc nhiều triệu chứng này, hãy tìm đến bác sĩ để được thăm khám và chẩn đoán chính xác.
Có cách nào để bảo vệ sức khỏe tuyến thượng thận không?
Để bảo vệ tuyến thượng thận, bạn nên duy trì một lối sống lành mạnh bao gồm chế độ ăn uống cân bằng (giàu rau xanh, trái cây, hạn chế đường và muối), tập thể dục đều đặn, ngủ đủ giấc và đặc biệt là quản lý tốt căng thẳng. Căng thẳng kéo dài có thể làm quá tải tuyến, gây ra nhiều vấn đề sức khỏe.
Các bệnh lý tuyến thượng thận có nguy hiểm không?
Nhiều bệnh lý của tuyến thượng thận có thể rất nguy hiểm nếu không được chẩn đoán và điều trị kịp thời. Ví dụ, bệnh Addison (suy tuyến thượng thận) có thể gây nguy hiểm tính mạng nếu xảy ra cơn cấp. Các khối u như pheochromocytoma hoặc ung thư tuyến thượng thận cũng có thể dẫn đến các biến chứng nghiêm trọng bao gồm đột quỵ, bệnh tim hoặc tử vong. Việc phát hiện sớm và can thiệp y tế là chìa khóa để kiểm soát bệnh và giảm thiểu rủi ro.
Bài viết đã cung cấp cái nhìn tổng quan về tuyến thượng thận nằm ở đâu, cấu tạo và chức năng của nó, cùng với các bệnh lý liên quan và cách duy trì sức khỏe cho tuyến. Hy vọng thông tin này từ Inter Stella sẽ hữu ích cho bạn đọc trong việc nâng cao kiến thức và chăm sóc sức khỏe bản thân.














